症例集


インプラント

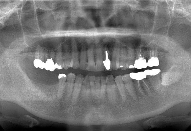
下顎臼歯部インプラント治療(2本)

  • *
    *
    *
  • *
    *
    *
  • *
    *
    *
主訴 右下奥歯の歯が無い。インプラント治療をしたい。
診断名・
主な症状
右下臼歯部欠損
年齢 54歳
治療内容 インプラント(右下6・7)
オールセラミックス(左上2)
E-MAX CAD(左上6・7)
治療期間/
通院回数
インプラント: 4ヶ月/6回
オールセラミック、E-MAX CAD: 4ヶ月/6回
費用 インプラント: 700,000円
オールセラミック、E-MAX CAD: 269,500円
合計 969,500円
*いずれも税込
リスク・副作用
定期的なメインテナンスを行わない場合、インプラントが脱落する可能性があります。被せ物は経年的な劣化で欠ける可能性があります。
ページの先頭へ戻る