
-
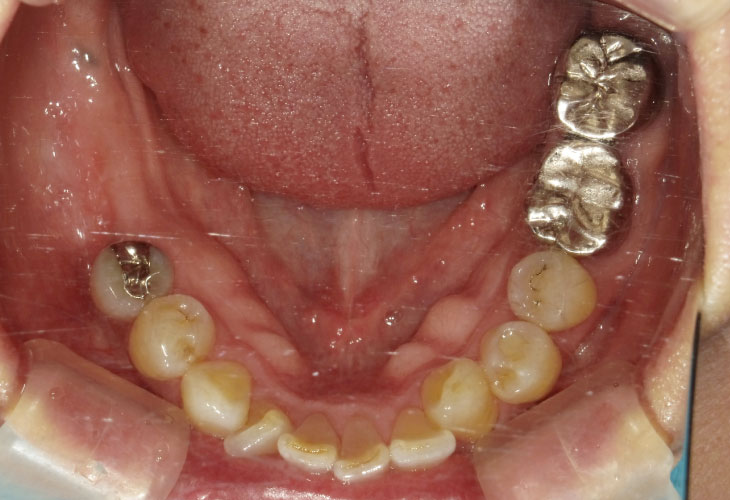
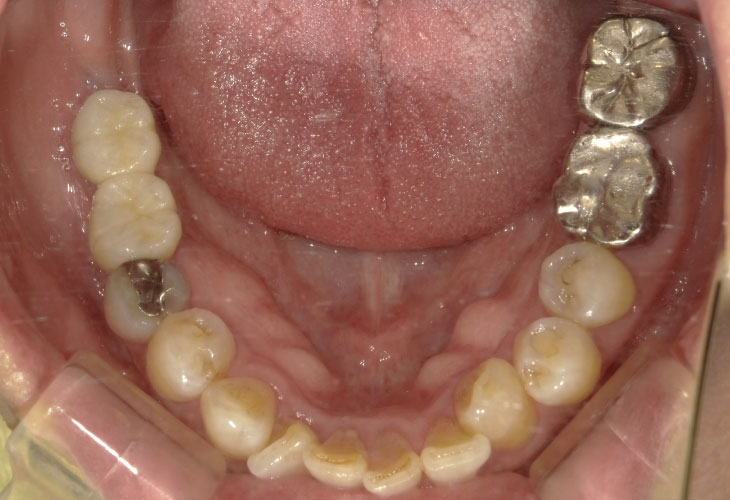
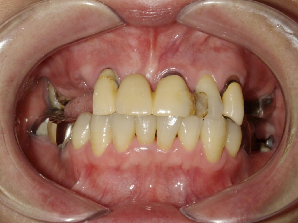
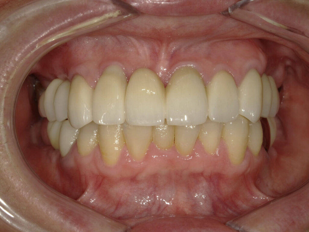
インプラント埋入(左下5・6,右下5・6,左上4・6) サイナスリフト(左上4・6) ジルコニアBr(右上6−左上3) E …続きを見る
-
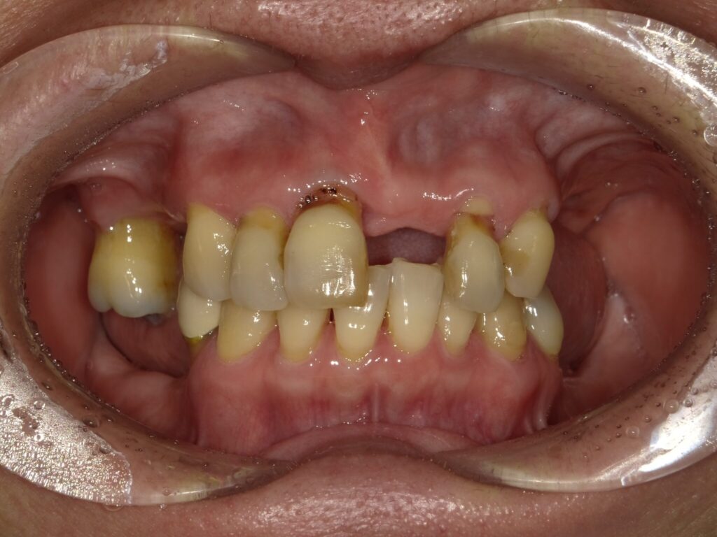
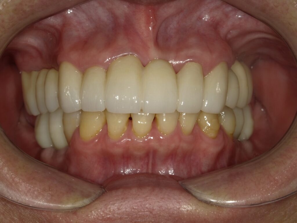
インプラント埋入(右上4・6,左上4・6,右下6,左下6) ジルコニアBr(右上3―左上3) ジルコニア(右下5,左下5) …続きを見る
-
インプラント(右下6・7) オールセラミックス(左上2) E-MAX CAD(左上6・7) …続きを見る
ネット予約システムに
つきまして
現在、たいへん予約が取りにくい
状況となっております。
初診にてご予約をご希望の方は
お電話にて直接ご連絡ください。
TEL:086-472-8030
ご迷惑をおかけいたしますが
何卒ご理解、ご協力のほど宜しく
お願いいたします。