症例集


ホワイトニング

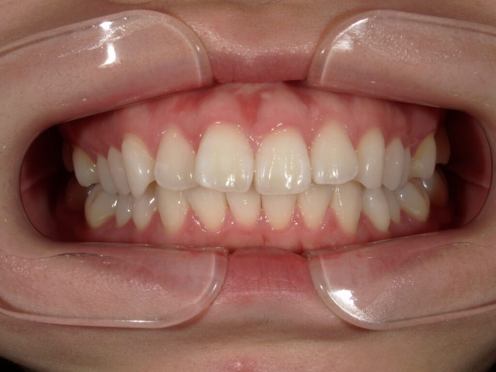
ホームホワイトニング/25歳女性

  • *
    *
    *
年齢 25歳
治療内容 ホームホワイトニング
治療期間/
通院回数
実施期間: 2週間/通院回数: 2回
費用 16,500円(税込)
ページの先頭へ戻る