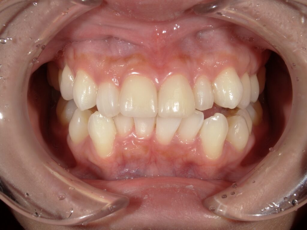
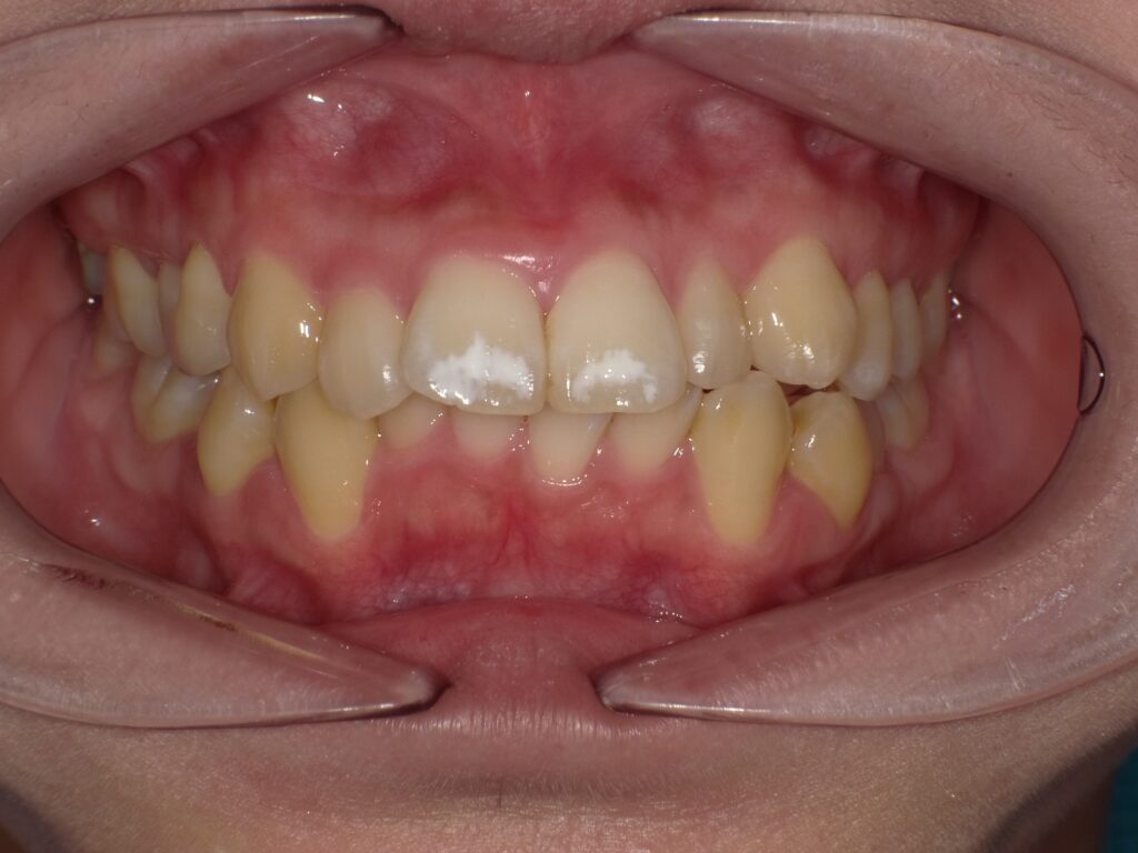
ホームホワイトニング/33歳女性 セラミック治療 ラミネートベニア ホワイトニング ホームホワイトニング 年齢 33歳 治療内容 ホームホワイトニングで明るくしてから、その色に合わせてラミネートベニアを作製した。本人希望の明るさになるまで経過観察しながらホワイトニングを継続した。知覚過敏の症状もあった為、期間がかかった。 治療期間/通院回数 実施期間: 4ヶ月/通院回数: 5回 費用 ホームホワイトニング: 16,500円 ラミネートベニア: 88,000円 *いずれも税込