全顎治療症例
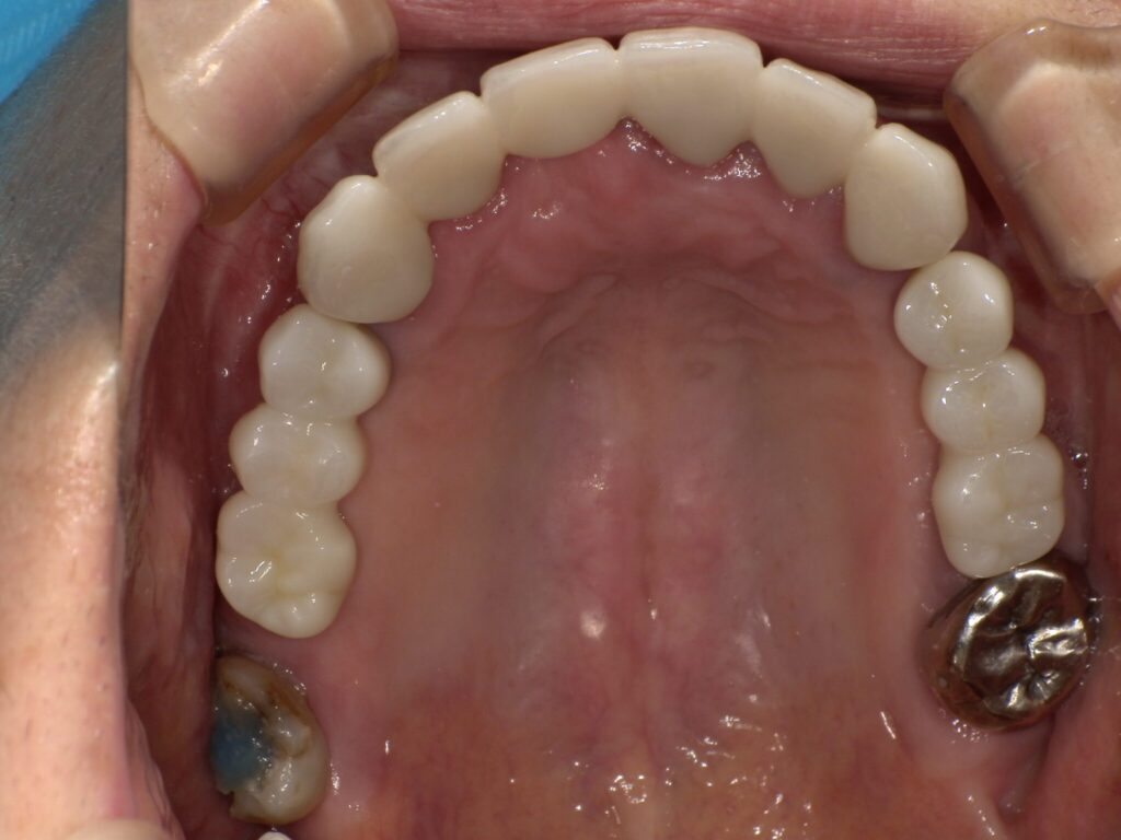
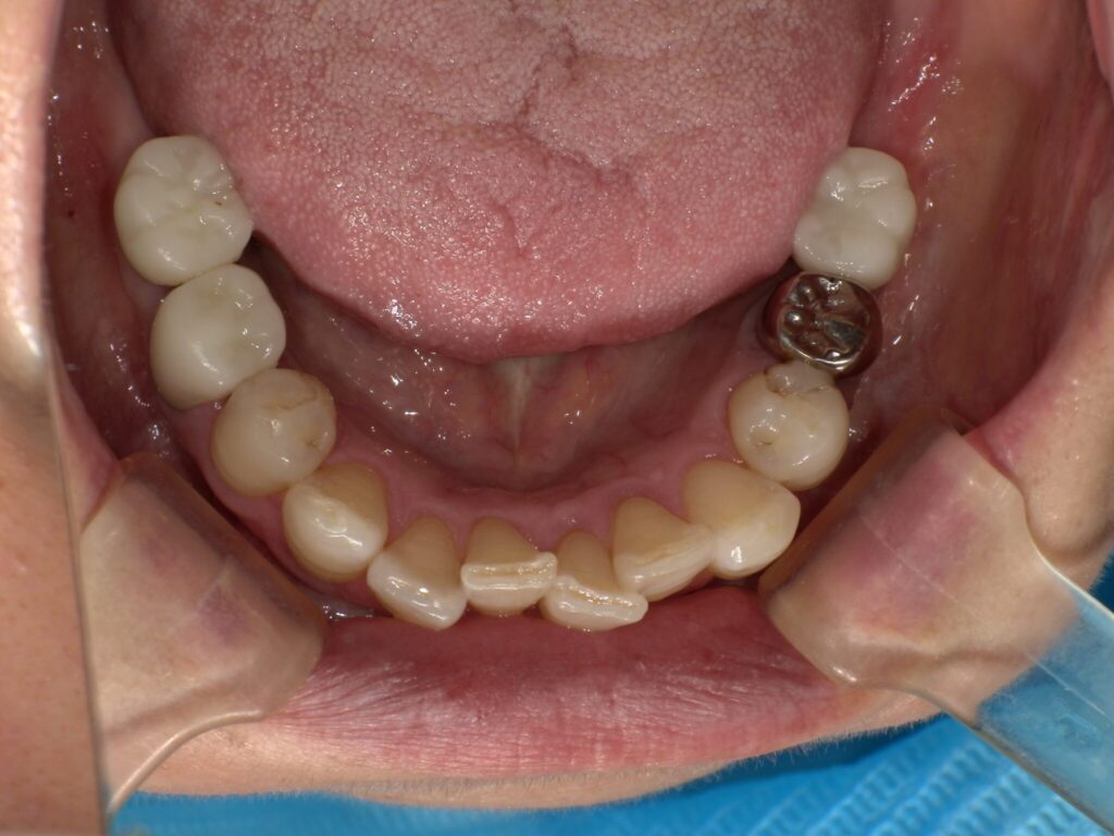
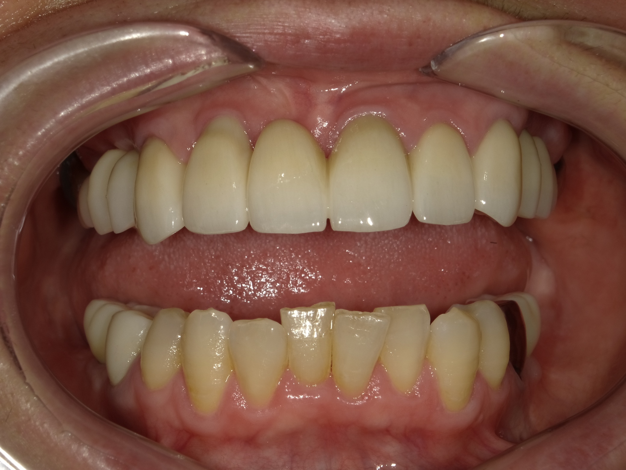
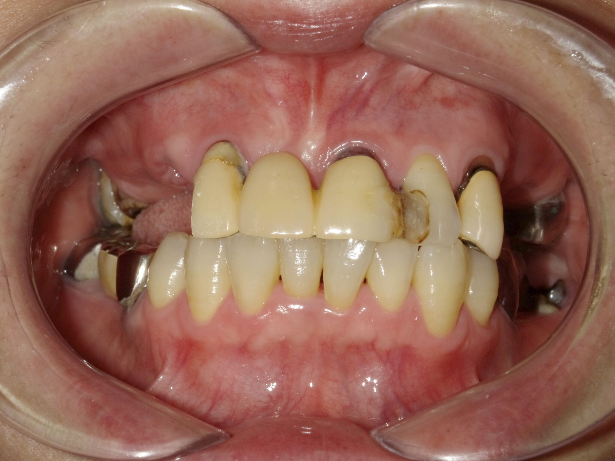
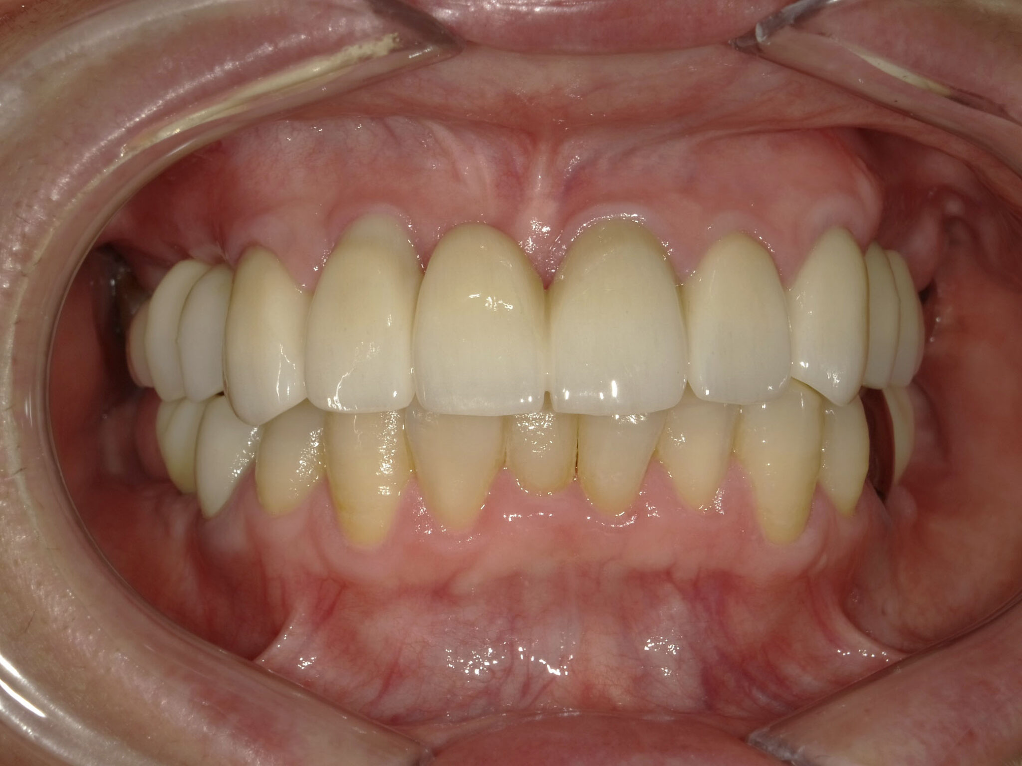
| 主訴 | 全体的に見た目を綺麗にしたい。奥歯でしっかり噛みたい。 |
|---|---|
| 診断名・ 主な症状 |
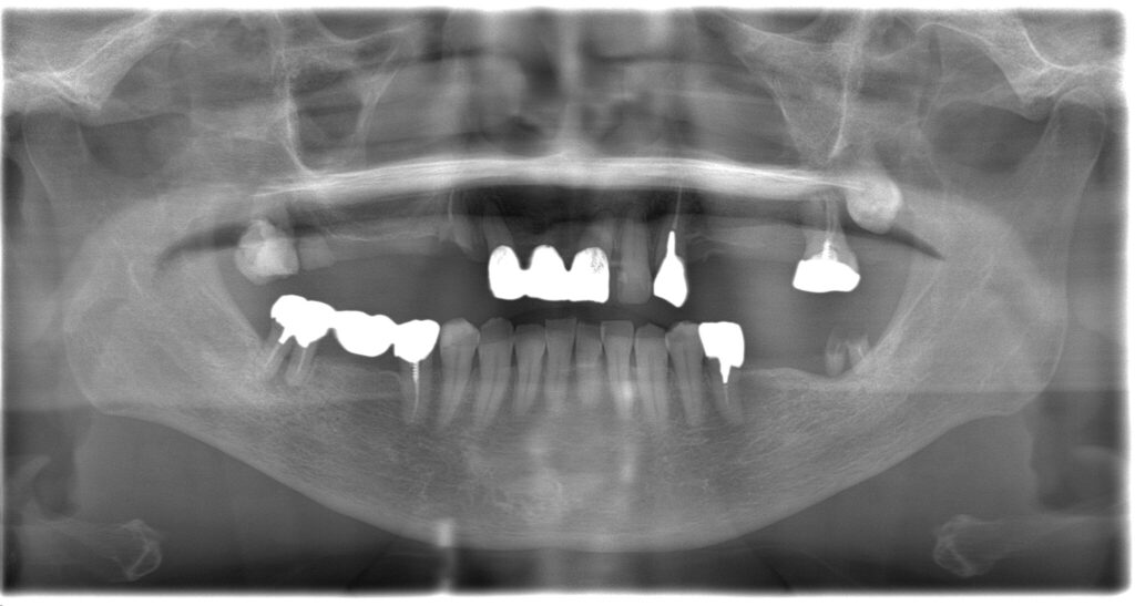
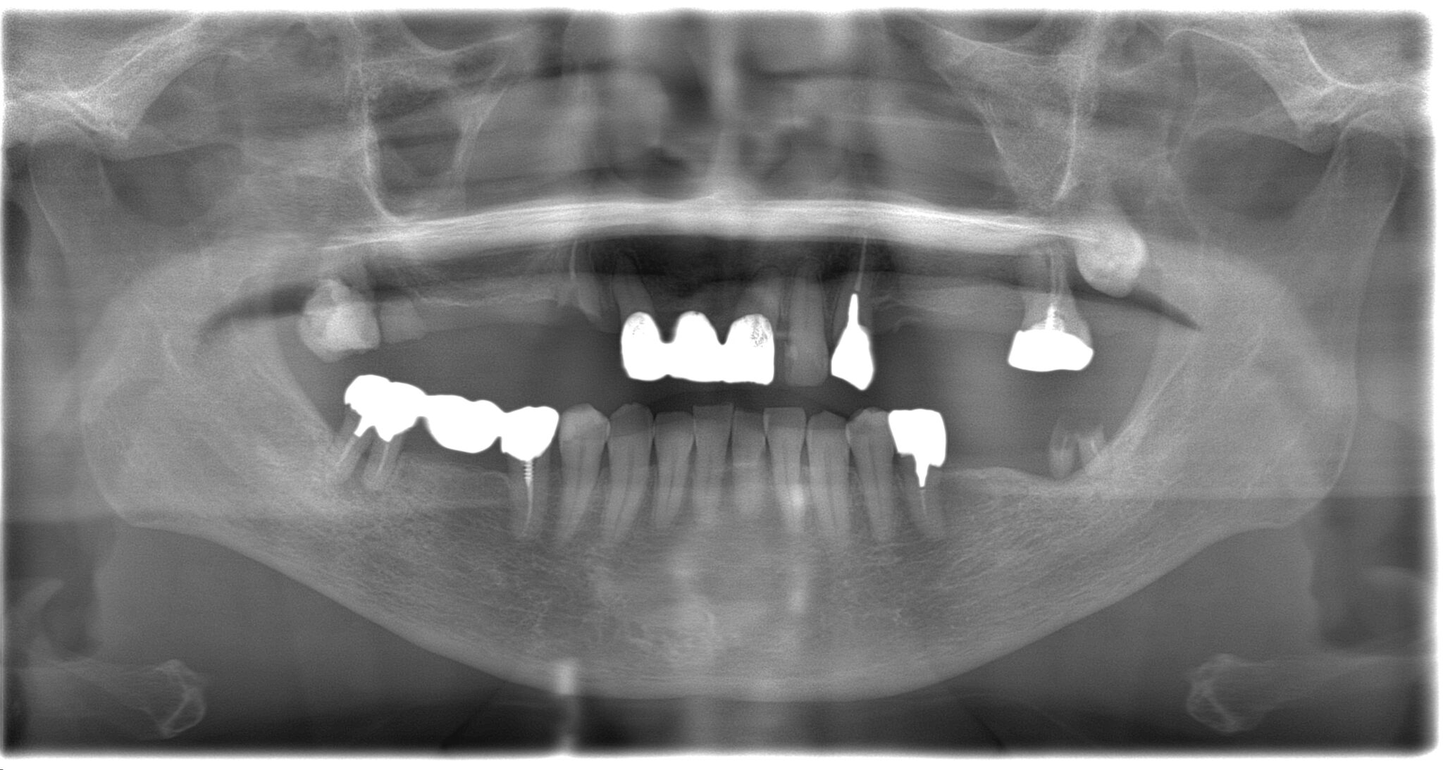
臼歯部欠損 |
| 年齢 | 70歳 |
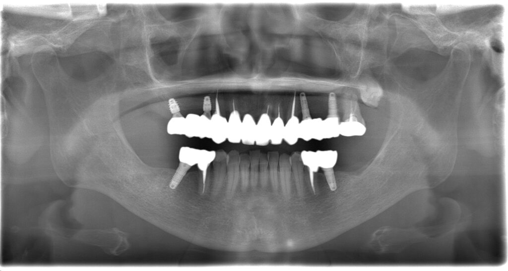
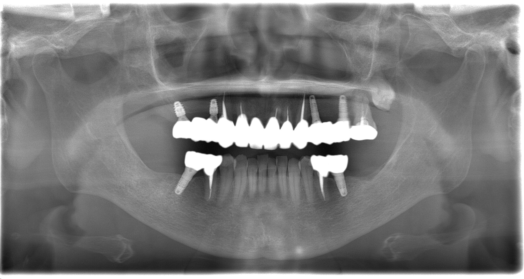
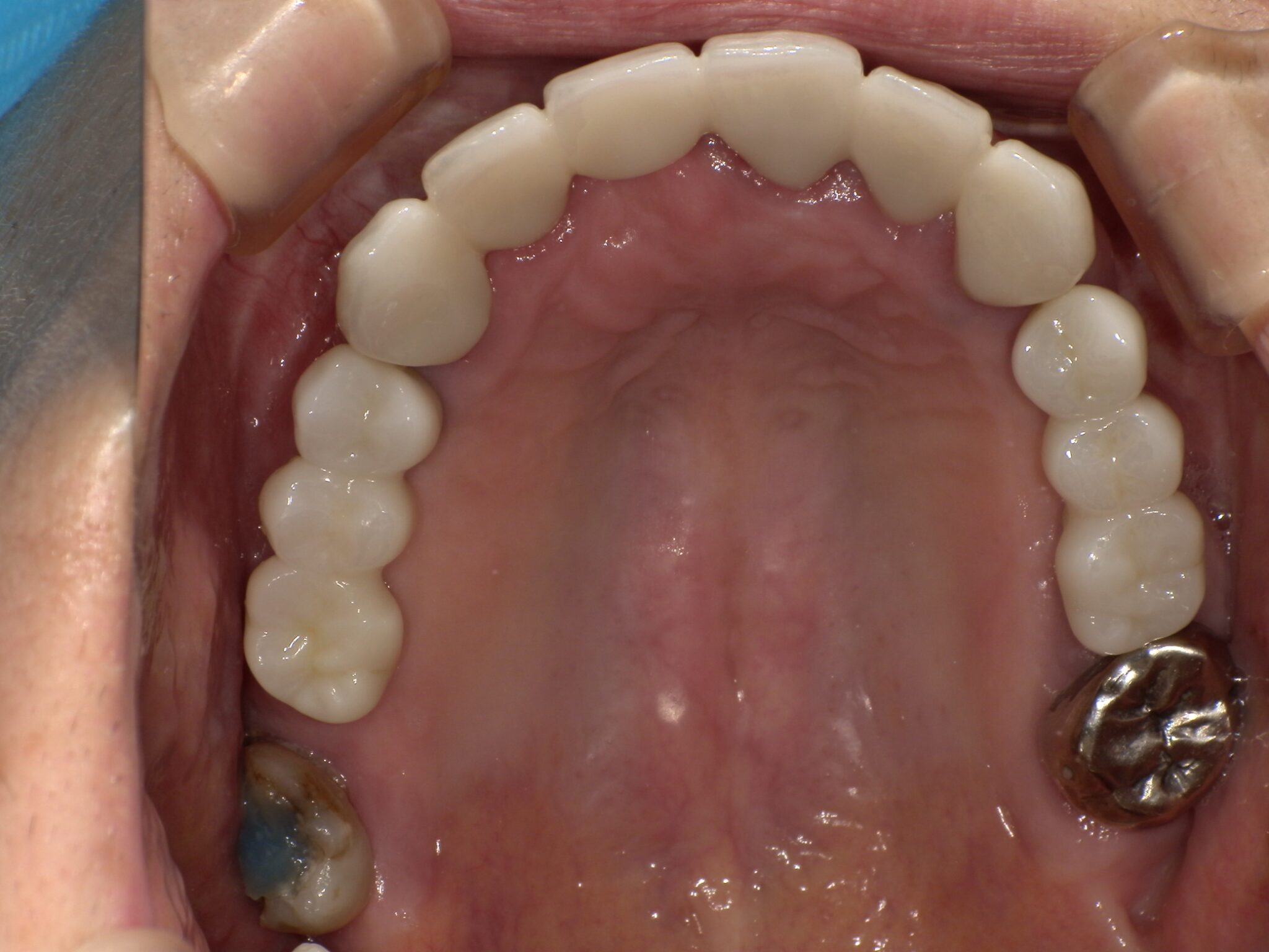
| 治療内容 | インプラント埋入(右上4・6,左上4・6,右下6,左下6) ジルコニアBr(右上3―左上3) ジルコニア(右下5,左下5) |
| 治療期間/ 通院回数 |
インプラント 1年5ヶ月/13回 ジルコニアBr、ジルコニアクラウン 3ヶ月/10回 |
| 費用 | インプラント: 2,552,000円 その他治療: 640,000円 合計 3,192,000円 *いずれも税込 |
- リスク・副作用
- 定期的なメインテナンスを行わない場合、インプラントが脱落する可能性があります。被せ物は経年的な劣化で欠ける可能性があります。























