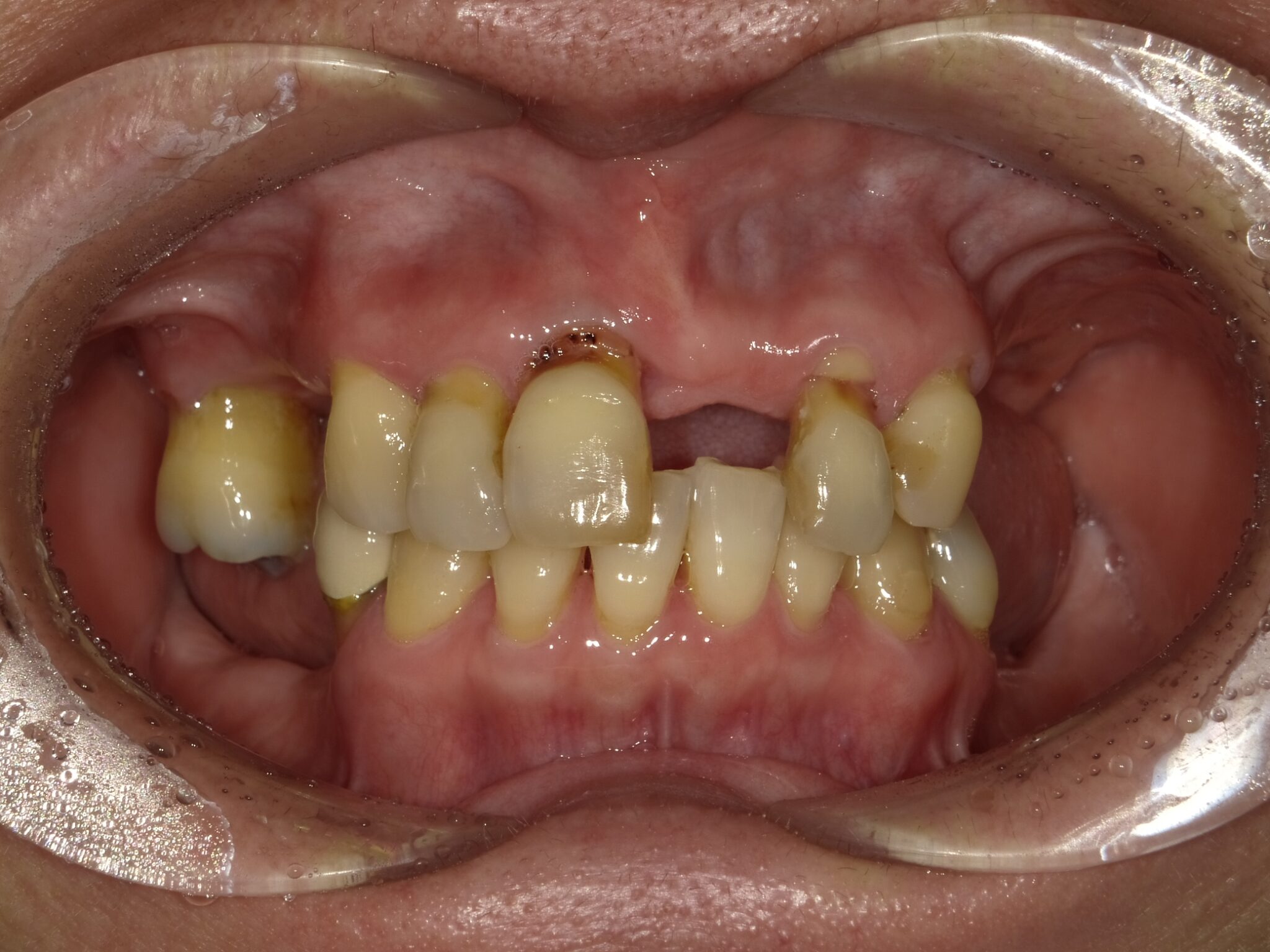
全顎治療症例
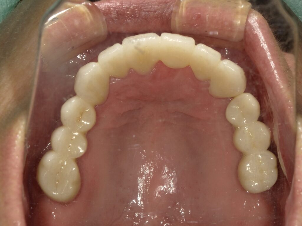
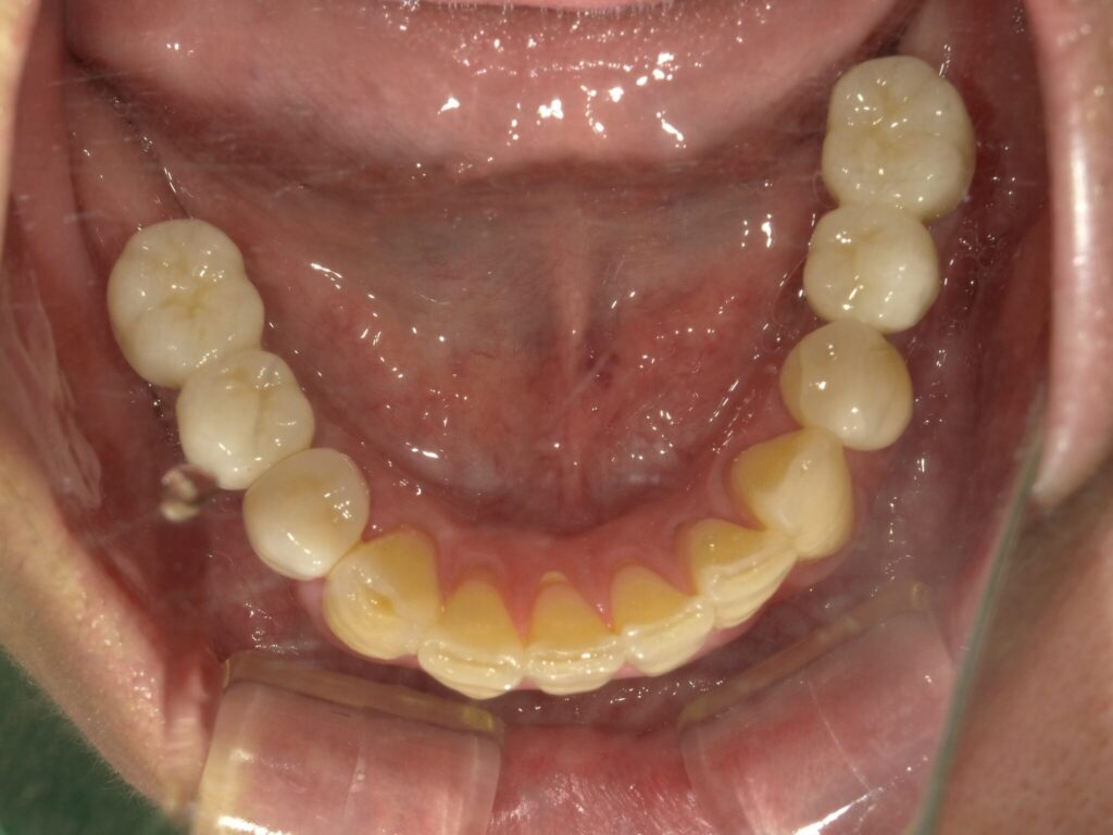
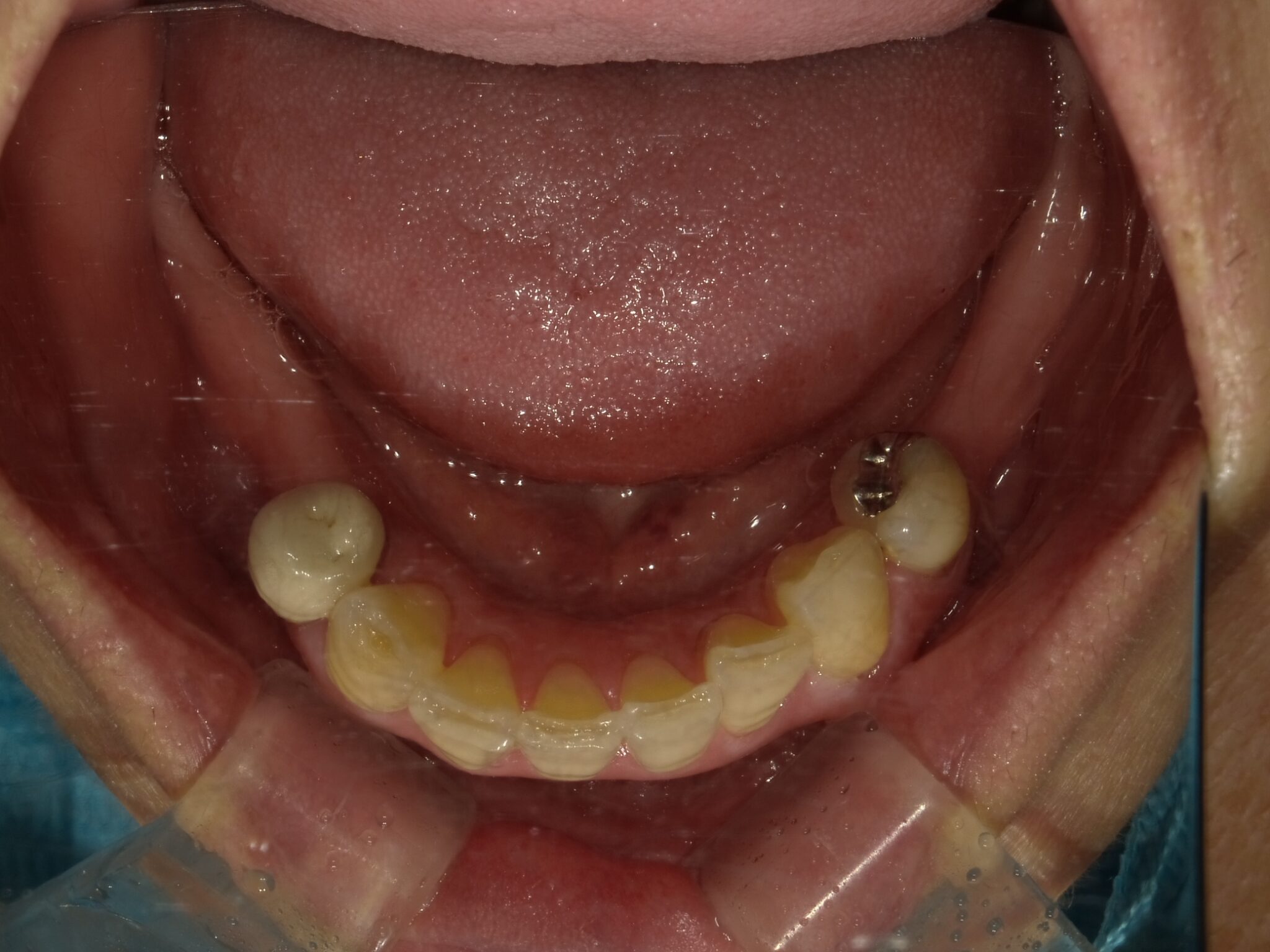
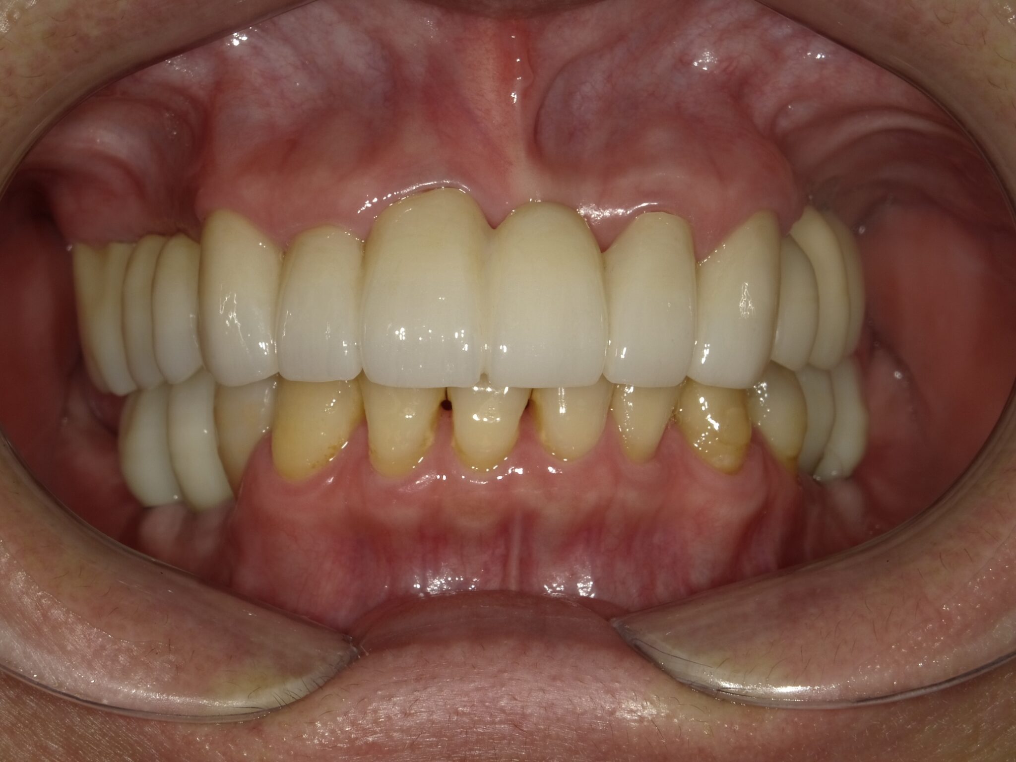
| 主訴 | 全体的に見た目を綺麗にしたい。奥歯でしっかり噛みたい。 |
|---|---|
| 診断名・ 主な症状 |
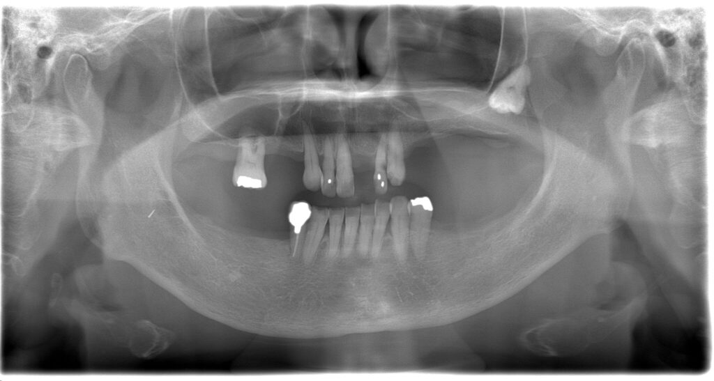
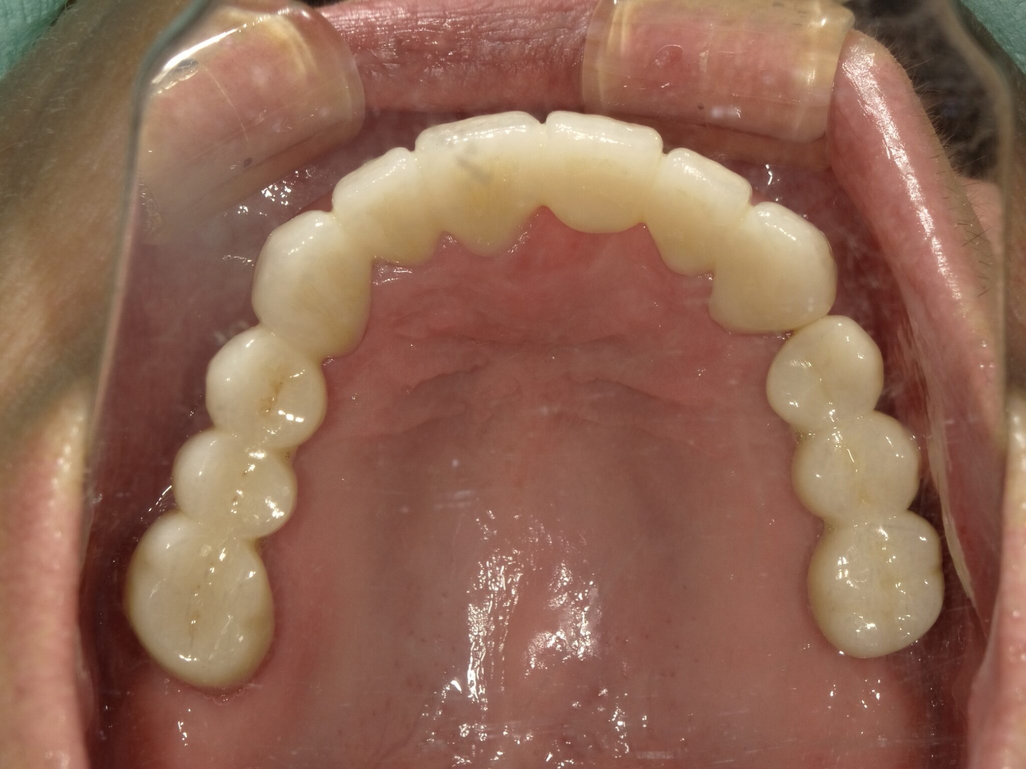
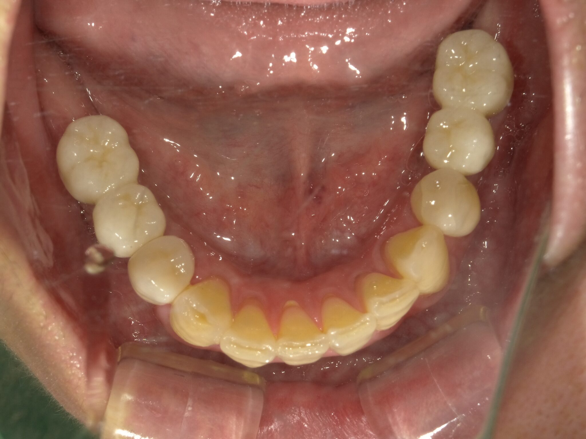
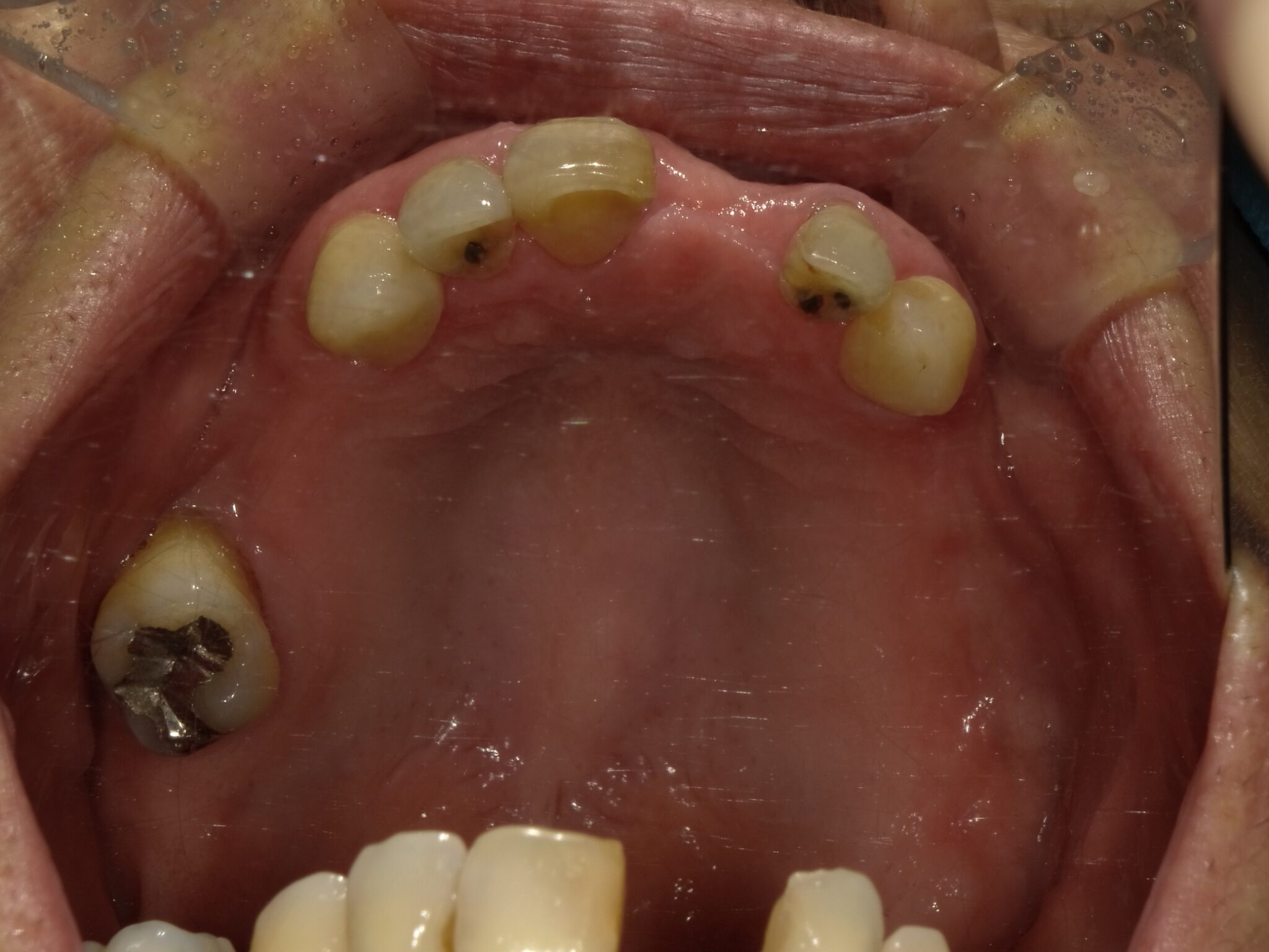
臼歯部欠損 |
| 年齢 | 65歳 |
| 治療内容 | インプラント埋入(左下5・6,右下5・6,左上4・6) サイナスリフト(左上4・6) ジルコニアBr(右上6−左上3) E –MAX CAD(右下4) セラミックインレー(左下4) |
| 治療期間/ 通院回数 |
約1.5年/約20回 |
| 費用 | インプラント治療 約2,000,000円 その他被せ物治療など 約1,000,000円 合計 約3,000,000円 *いずれも税込 |
- リスク・副作用
- 定期的なメインテナンスを行わない場合、インプラントが脱落する可能性があります。被せ物は経年的な劣化で欠ける可能性があります。























