症例集


ホワイトニング

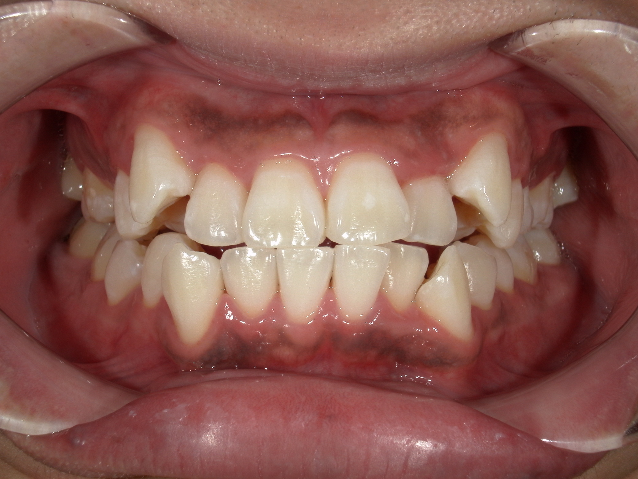
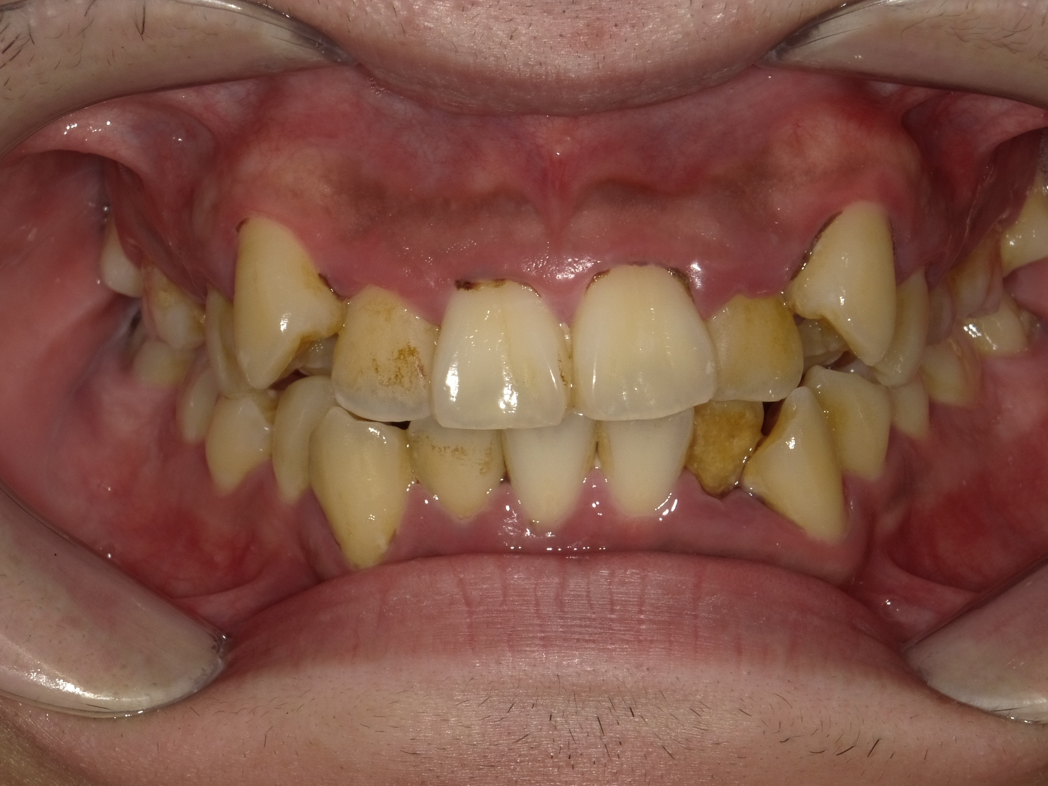
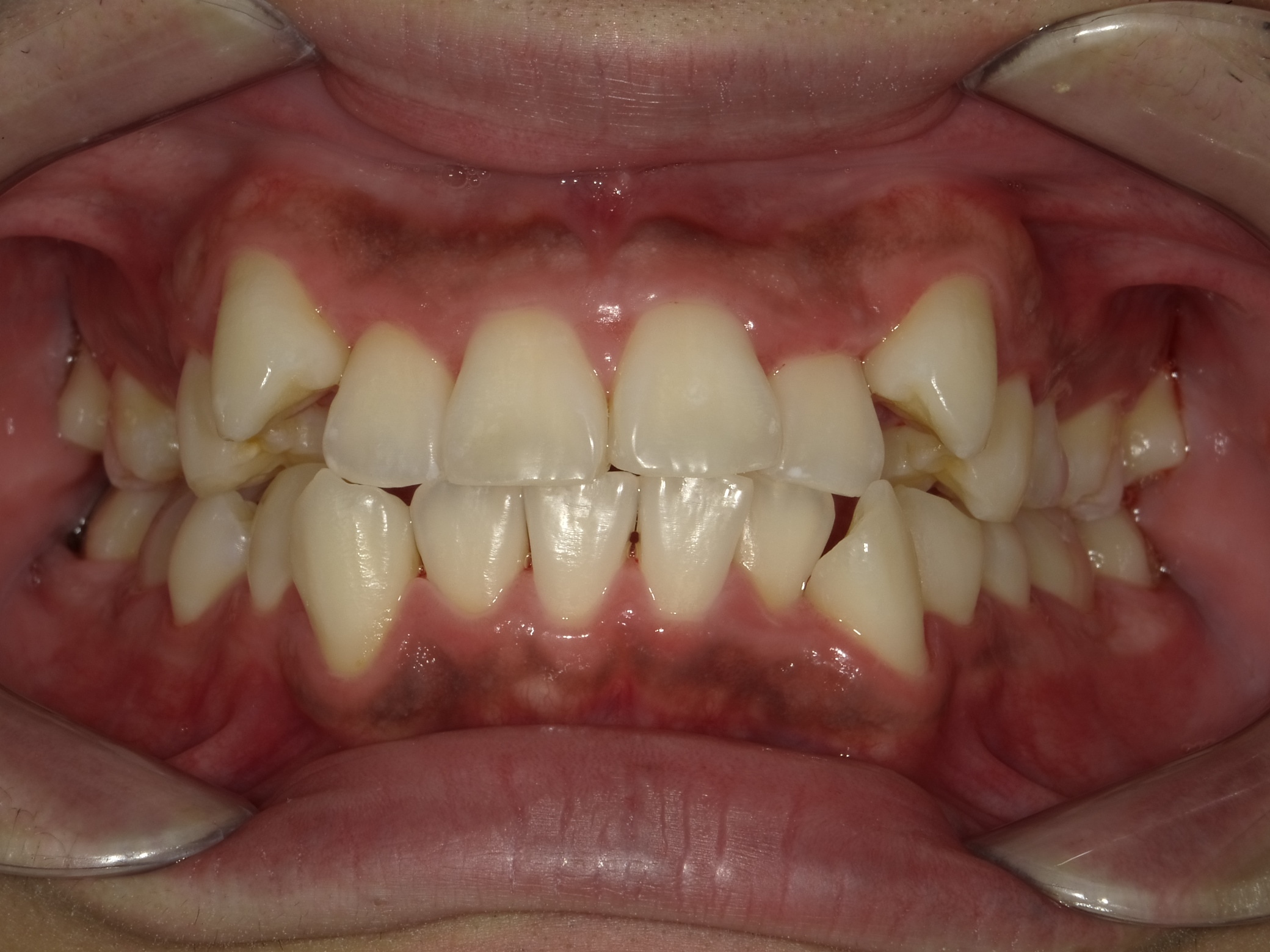
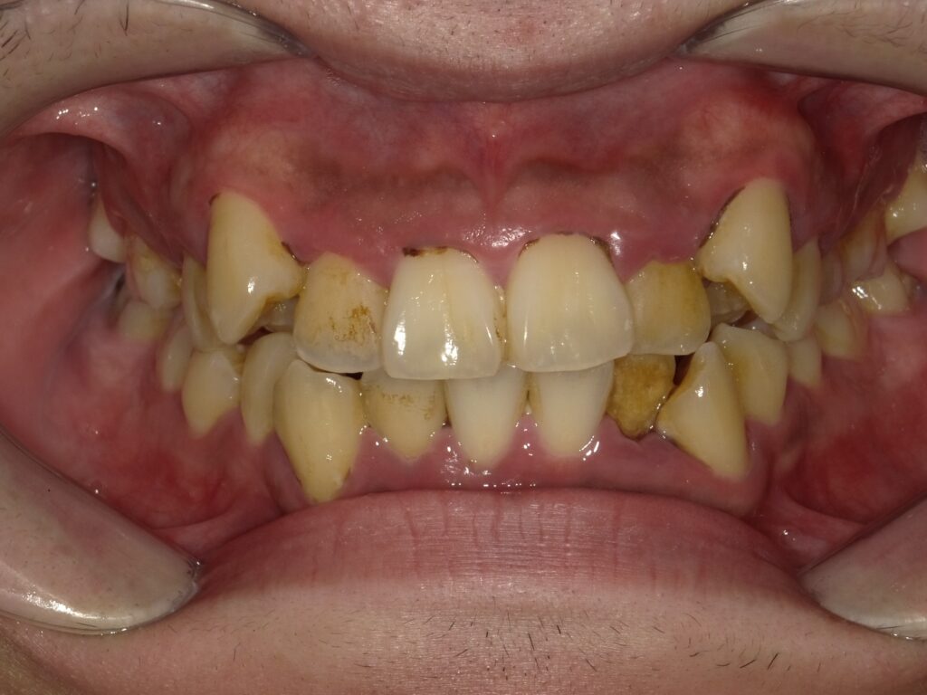
オフィスホワイトニング3回コース/29歳男性

  • *
    *
    *
  • 2回目の治療経過

年齢 29歳
治療内容 ホワイトニング3回コース
治療期間/
通院回数
3ヶ月/3回
費用 55,000円(税込)
ページの先頭へ戻る