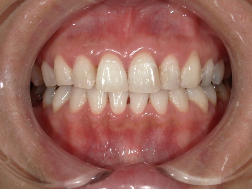
オフィスホワイトニング3回コース/50歳女性 ホワイトニング オフィスホワイトニング 年齢 50歳 治療内容 オフィスホワイトニング3回コース+ホームホワイトニングをセットで行った 治療期間/通院回数 3ヶ月/4回 費用 70,000円(税込)