症例集


ホワイトニング

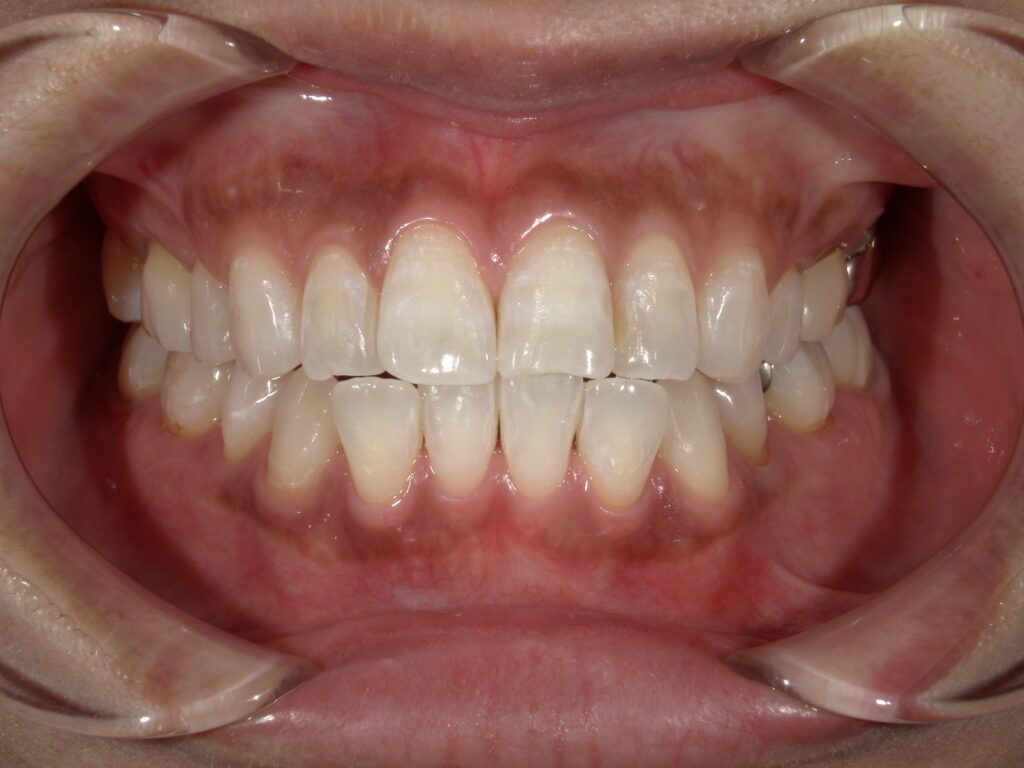
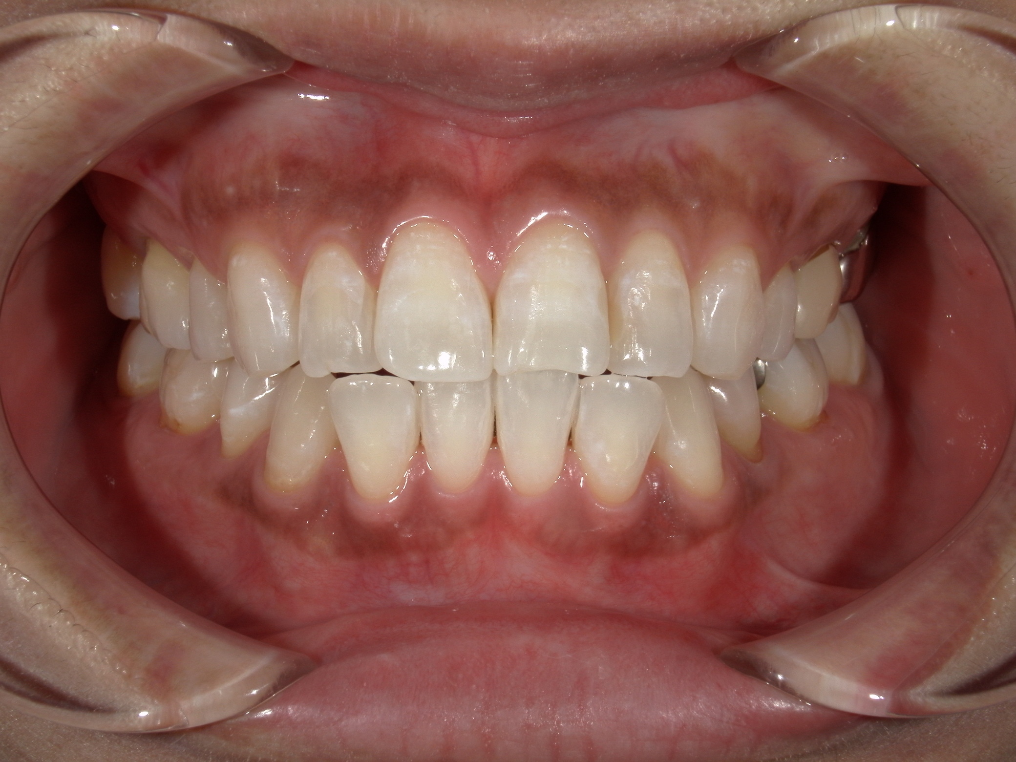
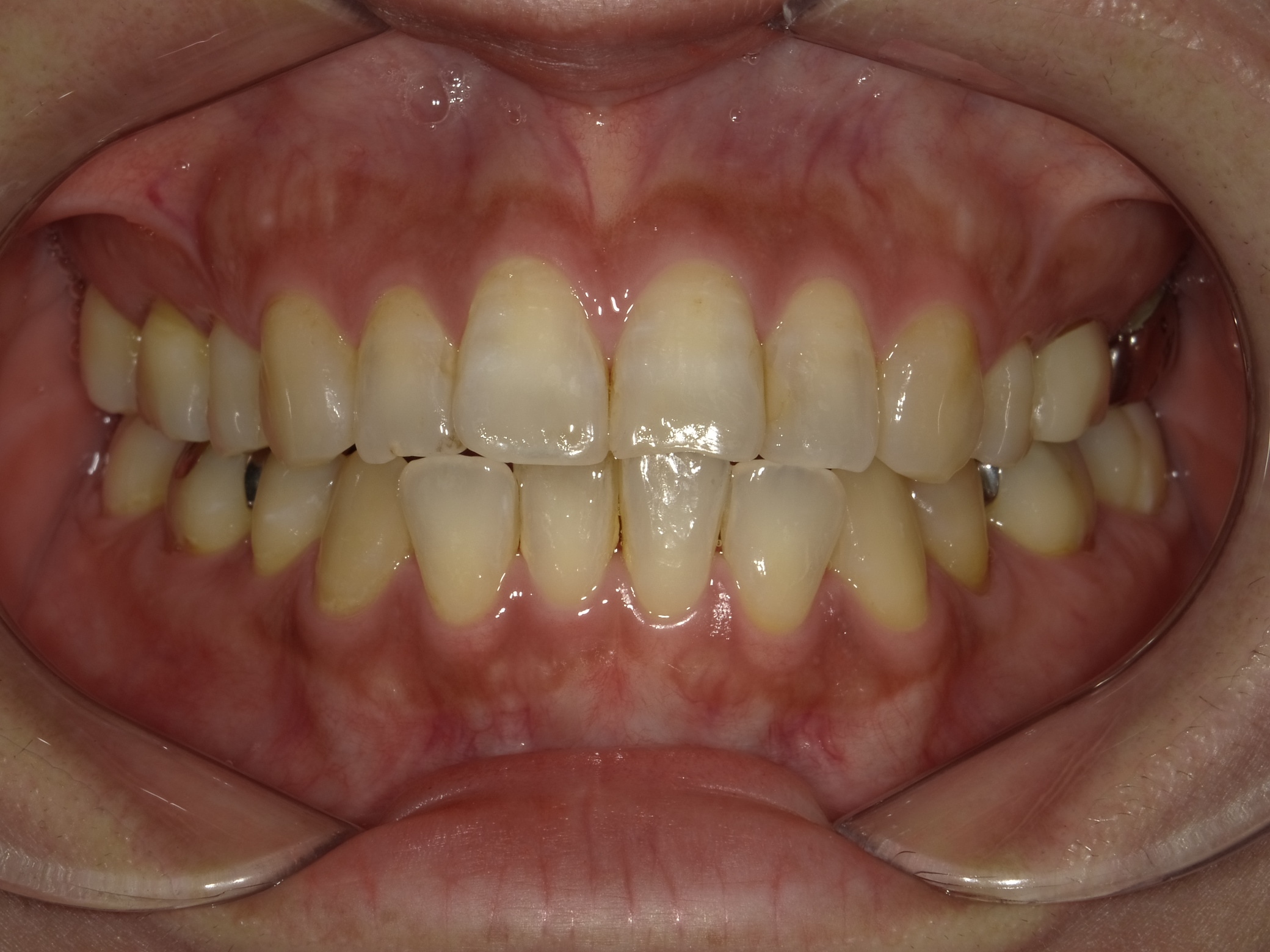
オフィスホワイトニング3回コース/43歳女性

  • *
    *
    *
年齢 43歳
治療内容 オフィスホワイトニング3回コース+ホームホワイトニングをセットで行った
治療期間/
通院回数
3ヶ月/4回
費用 70,000円(税込)
ページの先頭へ戻る